
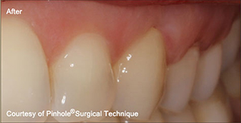
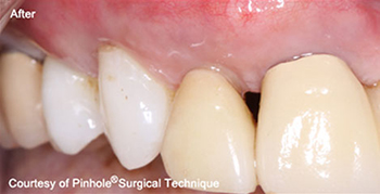
A breakthrough treatment for gum recession.
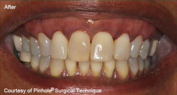
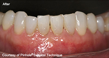
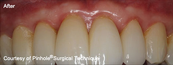
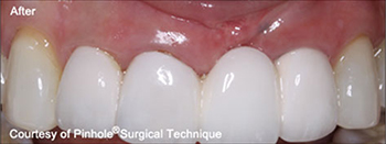
The Chao Pinhole® Surgical Technique (PST®); a scalpel-free, suture-free breakthrough procedure to treat gum recession, was invented and patented by John Chao, D.D.S. The procedure entails making a small hole in the gum. With specially designed instruments, the gum tissue is loosened and guided over the recession around the tooth. Since there are no incisions, patients can expect minimal post-operative symptoms such as pain, swelling and bleeding. Most patients are pleased by the instant cosmetic improvement after Chao Pinhole® Surgical Technique.
The benefits of the Chao Pinhole® Surgical Technique include:
To learn more about the Pinhole Surgical Technique, please contact our office at: (703) 775-0002.












What is gum recession?
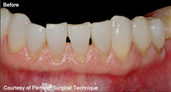
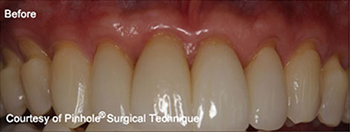
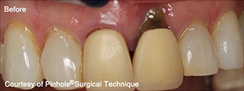
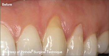
Gum recession is the loss of gum tissue along the gumline. This occurs as a result of periodontal disease (gingivitis, periodontitis, advanced periodontitis), the natural aging process, or abrasive habits when it comes to brushing the teeth.
Why should gum recession be taken seriously?
When gum recession occurs, the root structure of the tooth becomes exposed. This means that tooth decay and other problems can affect the teeth along the gumline and beneath it. Since healthy gums are essential for a healthy mouth, have a gum recession treatment is important for long-lasting dental wellness.
What is the Chao Pinhole® Surgical Technique (PST)?
The Chao Pinhole® Surgical Technique is a minimally invasive option for treating gum recession. Unlike traditional grafting techniques, PST is incision and suture free. All of the tools and techniques used to perform the Chao Pinhole® Surgical Technique were created by Dr. John Chao, and who trained our doctor, Dr. Sheri Salartash.
How does the Chao Pinhole® Surgical Technique (PST) differ from traditional gum grafting?
Traditional gum recession treatments involve the use of donor tissue or soft tissue grafts in order to rebuild the gumline. This soft tissue would be sutured in place and would join with existing gum tissue as it healed. While this traditional grafting treatment is effective, comparable results with better patient experience can be achieved through the Chao Pinhole® Surgical Technique.
How is Chao Pinhole® Surgical Technique (PST) performed?
During the Chao Pinhole® Surgical Technique, a needle is used to make a small hole in the patient’s existing gum tissue. Through this pinhole, special instruments are used to gently loosen the gum tissue. These tools help expand and slide the gumline to cover the exposed root structure. There are no grafts, no sutures, and no incisions needed with the Chao Pinhole® Surgical Technique. It simply involves the adjustment of the existing tissue.
