
Comprehensive orthodontic treatment is the installation of dental braces that help straighten teeth, remove gaps, and correct overbites. Braces are often used in conjunction with other orthopedic appliances such as expansion appliances to influence the growth of bone in patients. Retainers are often worn to help ensure teeth remain in their new position after braces have been removed.

We suggest that children have their first orthodontic consultation no later than 7 years of age. While many people have corrective orthodontic procedures done early in their lives, it is not uncommon for adults and even seniors to undergo orthodontic treatments. Depending on the specific problems of the patient and the methods used to correct them, orthodontic treatments can last as few as six months but may take three years or more to complete in severe cases.
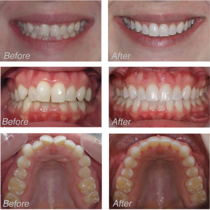
Straight teeth are easier to keep clean and are more effective in biting, chewing, and speaking than teeth with abnormalities. People who have had orthodontic treatments also report having fewer dental complications later in life.
What is Invisalign®
Invisalign® has changed the face of orthodontics. Instead of wires attached to your teeth, your teeth can now be straightened invisibly.
The Invisalign® process has been proven effective in clinical research and in orthodontic practices nationwide. However, only a certified dentist like ours can undertake this procedure.


The Invisalign System combines advanced 3-D computer graphics technology with 100-year-old science of orthodontics. Invisalign aligners are designed to move your teeth in small steps to the desired final position prescribed by your orthodontist. Each aligner is precisely calibrated and manufactured to fit your mouth at each stage of the treatment plan. Your first step is to visit our office to determine if Invisalign is right for you. After sending precise treatment instructions, Invisalign uses advanced computer technology to translate these instructions in a sequence of finely calibrated aligners — as few as 12 or as many as 48. Each aligner is worn for about two weeks and only taken out to eat, brush and floss. As you replace each aligner with the next, your teeth will begin to move gradually — week-by-week until the final alignment prescribed is attained. Then you’ll be smiling like you never have before!
Straight Teeth. Less Time. Clear Braces for Adults
Are you one of the millions of adults in need of adult braces who are unhappy, self-conscious or even embarrassed of your smile?
Many adults spend their entire lives covering their mouths when they laugh, smile or talk. They feel stuck because they do not want to wear adult metal braces for years or they are concerned that other corrective teeth straightening procedures could be too invasive or too expensive.
Now, there is an effective, safe and affordable cosmetic braces solution that fits your lifestyle. This treatment is limited to only cosmetically Aligning the front teeth and will not resolve any bite issues you may have.
For more info, please visit the official website of Six Month Smiles®.
MTM® Clear Aligner is a highly esthetic, cost-effective way to align smiles without the complication of traditional braces. MTM® Clear•Aligner is designed to treat the common minor anterior misalignments seen in up to 50% of the U.S. adult population*. Its unique “open pathway” architecture and integrated “force points” allow teeth to move easily and naturally into the desired position.
