

The appliance uses light forces to the teeth and gums delivered by an exceptionally advanced design. The design is based on replicating the forces to the jaws and head that nature intended. This has been verified through years of feedback from osteopathic and chiropractic physicians who specialize in treating the highly sensitive system involving the subtle forces and influences involving the cranium and the neurological system that it surrounds.
The functional appliance is barely visible to observers, easy to wear and more hygienic to maintain than most other dental and orthodontic appliances.
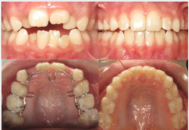
The functional appliance is one of very few dental appliances that provide adequate room for the tongue and is unique in its ability to encourage improved tongue function.
The tongue is nature’s best orthodontist and retainer. Without the development of an ideal swallow. adequate nasal breathing and balanced cranial function, we often see crowded teeth as well as crooked faces, necks and bodies. Nature intended for the tongue to continually support the roof of the mouth. However, if a child does not develop a mature swallow as a result of challenges in growth and development, they often struggle with optimal facial and neurological development.
This functional appliance provides an environment of gentle, functionally balanced support to the delicately interlocked bones of the head by providing a “fake it until you make it” opportunity for tongue and breathing function by enhancing the patient’s functional reflexive abilities. By providing an ideal opportunity for the patient to develop a fully functional swallow while creating more room in the mouth for the crowded tongue, the breath and swallow can better support the body’s delicate neurological system and craniofacial development.
The use of this functional appliance is known for creating an environment of enhanced neurological function and a more balanced facial appearance by harnessing the power of one of nature’s most powerful tools: the human tongue.
For more information: alftherapy.com

But there are other ways, non-traditional ones, that address the underlying causes for crooked teeth. Locked up bones in the cranium, mouth breathing, tongue position, habits like thumb sucking, nutrition, posture, genetics: they all have an effect on how the face grows, the jaws form, and the teeth line up.
Alternative methods of orthodontic treatment aim to develop the upper jaw and the mid-face FORWARD. We all have the genetic potential to accommodate ALL our teeth but many obstacles can be in the way. Rather than possibly pulling teeth to create space we work on removing the obstacles.
Growth is our biggest ally when it comes to helping a child develop its full potential and creating stable results. The width and position of the upper jaw determines how much the lower jaw can grow forward.
At age FOUR the facial skeleton has reached 60 % of its adult size; by age TWELVE 90% of growth has occurred. The lower jaw follows the growth of the rest of the skeleton.
Age 4 Facial Growth: 60%
Age 12 Facial Growth: 90%
So why wait with treatment and allow the permanent teeth to erupt crooked because there is not enough space? A better alternative is to develop the jaws as young as age 6 (and sometimes even earlier) which will create the space needed for the permanent teeth.
Even when the growth phase is over older children as well as adults can benefit from Alternative Orthodontics.

Cranial Osteopathy is a gentle hands-on technique that encourages the release of stresses and tensions throughout the body, including the head. It can be particularly helpful during treatment with Lightwire Orthodontics / ALF and shorten treatment time.
Orofacial Myofunctional Therapy treats a variety of postural and functional disorders including sucking habits and inappropriate oral postures or functions of the muscles of the tongue, lips, jaw, and face.
