
The word “apnea” itself means to stop breathing. Sleep Apnea Disorder (AKA Obstructive Sleep Apnea – OSA) is a serious sleep disorder that causes a person to temporarily stop breathing during sleep. Snoring is one of the most common symptoms that causes inconvenience for both the people who are suffering from snoring and their partners. Snoring occurs when air does not travel freely through nose and mouth when sleeping. This is because the airway is too narrow. When breathing, air moves in and out the throat, it causes the loosing tissues to vibrate and make an audible sound. Many reasons that cause snoring can be nasal and sinus problems, being overweight, alcohol, smoking, sleep posture, aging process and medications.

In Dynamic Dental Wellness, besides some effective non-surgical solutions, we also utilize the special Advanced Laser therapy, called NightLase®, to help patients improve their sleep quality.
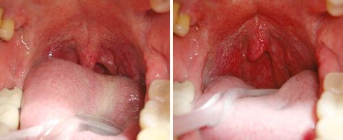
Nightlase is a ground-breaking laser for treatment of snoring. Unlike other surgical treatments, there is no cutting or removal of any oral tissue. Our laser therapy utilizes non-invasive light wavelength to gently stimulate the tightening effect by generate the collagen production and elevates the soft palate. This therapy strengthens patient’s inner oral tissues to increase the airway and reduce the intensity of snoring. Treatment requires no needles, no anesthesia and no chemicals.

This non-surgical therapy is a fast, non-invasive technique for the treatment of snoring. Because the laser therapy utilizes gentle light wavelength, it is virtually painless and there is no need for anesthesia or numb during and after the procedure. This airway-tightening technique is considered safe and the most convenient because patients don’t have to wear any appliances or suffer any surgery.

At first, patients will receive a digital airway evaluation and comprehensive consultation from our top doctors. We use the low-dose Green 3D CT scanner to provide 360 image of the airway. Also, the K7 Digital Muscle Activity Analysis and the Intra-Oral scanner provide numbers and figures about patient’s airway and jaw function. Our doctors then help patients answer the question whether or not Nightlase® is right for them.
Depending on each of their health conditions, the procedure can be performed in three separate 30 minute sessions over 3 weeks with the results are noticeable more after every session.
Here are some highlights of the non-surgical laser-assisted snoring treatment:
For more information, please call us at (703) 775-0002.
To book an appointment, please visit our new patient page.
You can always click and learn more about our technology, here.